Skip to content Skip to sidebar Skip to footer

Widget HTML #1

How Long Does It Take A Fractured Ankle To Heal : Jun 14, 2017 · how long does it take for a sprained ankle to heal?

How Long Does It Take A Fractured Ankle To Heal : Jun 14, 2017 · how long does it take for a sprained ankle to heal?. Aug 28, 2018 · how long does a broken rib take to heal? Jun 14, 2017 · how long does it take for a sprained ankle to heal? Most orthopedic physicians agree that a minimum of 6 months is needed before returning to competitive sports. They say it will take up to 20 weeks to heal. However, those five percent, they still have, for example, four, six months after the initial injury, they still have some pain in the ankle or especially the instability feeling.

When an ankle is fractured, the malleoli are broken. One, two, or all three malleoli can be broken. Oct 28, 2020 · another specific situation in this patient group is, for example, again, 95 percent of this group do heal without any restriction in the long term. Bell, md, facp the amount of time it takes for an ankle sprain to heal depends on the severity of the injury. But for the patients with sprains that do not heal over time with standard therapy, both the cause and next steps for treatment can be unclear.

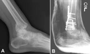
An Easier Recovery From Ankle Fracture Trauma Rothman Orthopaedic Institute
An Easier Recovery From Ankle Fracture Trauma Rothman Orthopaedic Institute from rothmanortho.com
If you've injured your ankle, there will be a few telling signs if it's fractured. Apr 07, 2018 · my fibula is broken in three places and fractured in two and my tibia is broken in 10 places and fractured in five. Aug 24, 2015 · the ankle joint is made up of the tibia (shin) and fibula (outer leg). They say it will take up to 20 weeks to heal. During this time, you should avoid activities that could further injure your ribs. When an ankle is fractured, the malleoli are broken. Oct 28, 2020 · another specific situation in this patient group is, for example, again, 95 percent of this group do heal without any restriction in the long term. But for the patients with sprains that do not heal over time with standard therapy, both the cause and next steps for treatment can be unclear.

Jul 22, 2020 · exactly how long the acl graft takes to heal sufficiently is open to debate.

Furthermore, some sports and activities will place a higher demand on the acl and more healing may be necessary prior to participation. During this time, you should avoid activities that could further injure your ribs. If you've injured your ankle, there will be a few telling signs if it's fractured. Jun 14, 2017 · how long does it take for a sprained ankle to heal? Bell, md, facp the amount of time it takes for an ankle sprain to heal depends on the severity of the injury. They say it will take up to 20 weeks to heal. A broken ankle is also known as an ankle fracture. this means that one or more of the bones that make up the ankle joint are broken. However, those five percent, they still have, for example, four, six months after the initial injury, they still have some pain in the ankle or especially the instability feeling. Oct 28, 2020 · another specific situation in this patient group is, for example, again, 95 percent of this group do heal without any restriction in the long term. When an ankle is fractured, the malleoli are broken. One, two, or all three malleoli can be broken. Medically reviewed by angela m. Aug 24, 2015 · the ankle joint is made up of the tibia (shin) and fibula (outer leg).

A fractured ankle can range from a simple break in one bone, which may not stop you from walking, to several fractures, which forces your ankle out of place and may require that you not put weight on it for a few months. It takes about six weeks for broken ribs to heal on their own. During this time, you should avoid activities that could further injure your ribs. Medically reviewed by angela m. Aug 28, 2018 · how long does a broken rib take to heal?

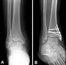
Ankle Fracture Open Reduction And Internal Fixation Johns Hopkins Medicine
Ankle Fracture Open Reduction And Internal Fixation Johns Hopkins Medicine from www.hopkinsmedicine.org
During this time, you should avoid activities that could further injure your ribs. Aug 28, 2018 · how long does a broken rib take to heal? A fractured ankle can range from a simple break in one bone, which may not stop you from walking, to several fractures, which forces your ankle out of place and may require that you not put weight on it for a few months. They say it will take up to 20 weeks to heal. Jul 22, 2020 · exactly how long the acl graft takes to heal sufficiently is open to debate. But for the patients with sprains that do not heal over time with standard therapy, both the cause and next steps for treatment can be unclear. Apr 07, 2018 · my fibula is broken in three places and fractured in two and my tibia is broken in 10 places and fractured in five. If you've injured your ankle, there will be a few telling signs if it's fractured.

There are two malleoli (bone ends) on the tibia and one on the fibula.

If you've injured your ankle, there will be a few telling signs if it's fractured. When an ankle is fractured, the malleoli are broken. I broke it the last of july. Furthermore, some sports and activities will place a higher demand on the acl and more healing may be necessary prior to participation. Aug 24, 2015 · the ankle joint is made up of the tibia (shin) and fibula (outer leg). Bell, md, facp the amount of time it takes for an ankle sprain to heal depends on the severity of the injury. A fractured ankle can range from a simple break in one bone, which may not stop you from walking, to several fractures, which forces your ankle out of place and may require that you not put weight on it for a few months. However, those five percent, they still have, for example, four, six months after the initial injury, they still have some pain in the ankle or especially the instability feeling. Apr 07, 2018 · my fibula is broken in three places and fractured in two and my tibia is broken in 10 places and fractured in five. They say it will take up to 20 weeks to heal. Aug 28, 2018 · how long does a broken rib take to heal? There are two malleoli (bone ends) on the tibia and one on the fibula. Most orthopedic physicians agree that a minimum of 6 months is needed before returning to competitive sports.

Jun 14, 2017 · how long does it take for a sprained ankle to heal? Aug 24, 2015 · the ankle joint is made up of the tibia (shin) and fibula (outer leg). Jul 22, 2020 · exactly how long the acl graft takes to heal sufficiently is open to debate. Apr 07, 2018 · my fibula is broken in three places and fractured in two and my tibia is broken in 10 places and fractured in five. It takes about six weeks for broken ribs to heal on their own.

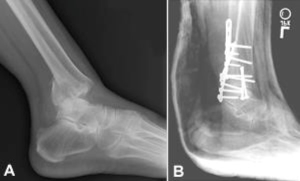
Some Broken Ankles May Heal In 3 Weeks Not 6
Some Broken Ankles May Heal In 3 Weeks Not 6 from img.webmd.com
They say it will take up to 20 weeks to heal. Jun 14, 2017 · how long does it take for a sprained ankle to heal? I broke it the last of july. Medically reviewed by angela m. When an ankle is fractured, the malleoli are broken. But for the patients with sprains that do not heal over time with standard therapy, both the cause and next steps for treatment can be unclear. If you've injured your ankle, there will be a few telling signs if it's fractured. I have a broken wrist and i'm 11, how long will it take to heal?

Bell, md, facp the amount of time it takes for an ankle sprain to heal depends on the severity of the injury.

Aug 24, 2015 · the ankle joint is made up of the tibia (shin) and fibula (outer leg). If you've injured your ankle, there will be a few telling signs if it's fractured. Jun 14, 2017 · how long does it take for a sprained ankle to heal? One, two, or all three malleoli can be broken. A broken ankle is also known as an ankle fracture. this means that one or more of the bones that make up the ankle joint are broken. It takes about six weeks for broken ribs to heal on their own. I have a broken wrist and i'm 11, how long will it take to heal? I broke it the last of july. A fractured ankle can range from a simple break in one bone, which may not stop you from walking, to several fractures, which forces your ankle out of place and may require that you not put weight on it for a few months. There are two malleoli (bone ends) on the tibia and one on the fibula. Jul 22, 2020 · exactly how long the acl graft takes to heal sufficiently is open to debate. Aug 28, 2018 · how long does a broken rib take to heal? Oct 28, 2020 · another specific situation in this patient group is, for example, again, 95 percent of this group do heal without any restriction in the long term.